Crown and Bridge

Porcelain Crowns in North York Region – Restore & Strengthen Your Smile at Bayview Smile Centre

Crowns are used to restore teeth that are cracked, worn down, or heavily restored. A porcelain crown is a simple, long lasting restoration that allows for both stability and beautiful aesthetics. Let our team at Bayview Smile Centre show you how porcelain crowns may be an ideal dental solution for you!

Get your consultation virtually! Just contact us!
BOOK a VIRTUAL Consultation TODAY!
notebook

What is a Crown?

A crown, sometimes referred to as a cap, is a permanent restoration that covers the entire tooth surface above the gumline. Crowns are used to repair damaged teeth, or to protect teeth that are at risk for fracture, such as root canal treated or heavily restored teeth. Crowns are custom made for each patient and they are matched to your surrounding teeth.

Why Choose Porcelain Crowns?

Natural Looking

These days, crowns are virtually undetectable. Modern materials mimic the look and feel of enamel and are made to match your other teeth perfectly.

Long lasting protection

Dental crowns are used to reinforce teeth that have been damaged due to accident or decay, or weakened by extensive restoration.

High functioning

A well fitted crown can help you to chew normally, just like a natural tooth.

Many uses

Whether treating a cracked or fractured tooth, a root canal treated or heavily restored tooth, or simply being used for esthetic reasons, dental crowns are very versatile.

Why Would I Need a Crown?

Dental crowns can be used to treat:

  • A broken or worn down tooth
  • Teeth with large restorations
  • Root canal treated teeth, which are prone to fracture
  • Cosmetic problems such as staining or teeth that need to be reshaped
  • Any tooth that needs a little extra strength due to function or structure
Get your consultation virtually! Just contact us!
BOOK a VIRTUAL Consultation TODAY!
notebook

The Porcelain Crown Process
at Bayview Smile Centre

1

Free Consultation

We always offer a free consultation for any cosmetic procedures. We may take photos or use a digital scan to start planning your crown.

2

Preparation

Your tooth will be gently shaped to accommodate the crown and ensure a perfect fit. A temporary crown protects the tooth prior to the permanent crown being inserted.

3

Custom Design

We use state of the art dental labs to custom design and fabricate your new crown.

4

Installation

Your crown will be fitted and bonded into place.

5

Homecare

Dental crowns can last many many years with good oral hygiene at home and regular visits to your dentist.

Frequently Asked Questions

How long does a porcelain crown last?

While there are no lifetime guarantees, with regular dental visits and by maintaining good oral hygiene habits, your new crown should last 10-15 years, often even longer.

Will you be able to see the edges of the crown?

Crown margins are very discreet when placed correctly. The older style crowns which were made with metal underneath a layer of porcelain were notorious for having unsightly borders. The newer, all ceramic crowns are much more difficult to detect. They are very thin and match the tooth colour

Does it hurt to get a crown?

Dental crowns are a very comfortable procedure. Most of the time, only local anaesthetic (freezing) is required.

Will a crown improve my smile?

Absolutely. A crown is a restoration designed for strength and function, but they are also a simple way to make minor corrections in colour, shape as well as improve spacing.

Why Should I Choose Bayview Smile Centre for my Crowns?

  • Exceptional Clinical Team

    Our team of dentists have over 35+ years of combined experience in both cosmetic and restorative dentistry.
  • No Referrals Out

    At Smile Centre, we offer all services in one convenient location. From examination & diagnosis all the way to the crown insert (and every step in between), you will not have to go to a specialty office.
  • State of the Art Technology

    We believe that by using the latest digital techniques for scanning and imaging, as well as new dental materials, we can serve you better.
  • Relax and Enjoy

    If having a dental procedure does not sound relaxing, we have you covered. We offer many sedation options for your comfort, as well as flexible payment options.
  • Local

    At Bayview Smile Centre, we are your neighbours. We are proud to serve patients from all over the GTA.

Don’t Wait! Your Smile is Waiting!

There is no better time to call Bayview Smile Centre and book your free consultation. Don’t let dental issues keep you from laughing and smiling and eating the foods you enjoy. Let us show you the options available to give you the smile you have always wanted.

📞 Call Now, or book your consultation! We can’t wait to see you smile.

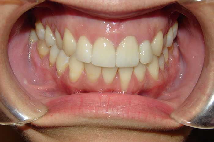
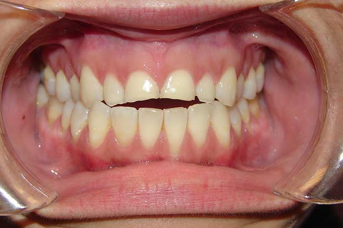
Our Work

Smile Gallery


(647) 931-2477

2885 Bayview Ave Unit 4,
North York, ON
M2K 0A3